加拿大疫苗预约热线被打爆,群众接种意愿高涨?!负面消息却不断传出......恐怖副作用当事人发声:我已听天由命!
本周一(8日)开始,BC省第二阶段的疫苗接种预约工作正式展开。

从早上7点预约热线开放到上午10点,短短的3个小时内,省内各卫生区共接到了近170万通电话,预约专线一直处于忙线状态。
而根据时间表,本周只为90岁以上的老人(1931年或之前出生的人)65岁以上的原住民(1956年或之前出生的人)提供疫苗接种预约服务。
人口统计数据显示BC省符合上述要求的人总人数大约在8.2万左右,这意味着呼叫中心本最多需要应对8.2万通电话,但实际上,预约专线开通后电话几乎在瞬间就被打爆了...
最早开放线上预约的阿省也经历了类似的情况。不难看出,如今在加拿大,群众整体对新冠疫苗的态度还是很乐观的,大部分人都希望能尽早打上疫苗。
可与此同时,随着各国积极推动免疫计划,有关疫苗的负面报道也越来越多。
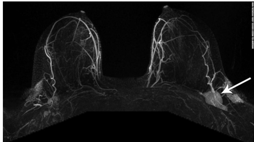
Devon Quasha是一名医护人员,平时就很关注自己的身体健康,所以当她发现乳房周围有肿块时,便立即预约了X光和超声检查。
在做检查的前几天,Devon感觉整个左臂、腋下和锁骨上方的部位都开始出现异常的肿胀。
"没经历过的人可能不了解,我当时特害怕,猜想自己是不是患了什么不治之症。"
万幸的是,医生看了报告认为她患癌症的几率不大,并且告诉Devon,之所以出现肿胀的症状是因为她才接种过新冠疫苗。
原来在预约检查前的一周,作为医护人员的Devon注射了第一针Moderna疫苗。
相关数据显示,大约有10%的群众在接种第一剂Moderna疫苗后,腋下或锁骨周围的淋巴结部位会出现肿块,这也是打完疫苗后产生的常见副作用之一。
来自渥太华的乳房影像科主管医师Jean Seely表示,不仅是女性,男性在注射完疫苗后也会经历类似的副作用,通常在打完疫苗后数周内"发作"。
然而这个说法并不能让Devon感到完全放心,她的放射科医生也称,因新冠疫苗造成的肿块是一方面,可乳房周围出现的肿块是另一回事,需尽快进行活检确认。
但由于Devon打了疫苗没多久,医生又不建议她立刻进行活检检查,否则很可能导致被误诊为罹患乳腺癌。
除了因接种疫苗产生的肿块给接种者带来痛苦和麻烦之外,一份报告显示,在注射Moderna疫苗的群体中,很多人的接种部位会在打完疫苗后两周内出现大面积的红色斑块。
看起来还挺吓人的...
接种者形容,就像是得了皮肤病一样,"发红的部位很痒,而且很痛,感觉涨疼涨疼的。"
一名叫Amelia Brown的美国女子纪录下了从出现红斑开始第一天的变化过程,最初只是呈现淡淡的粉红色,仅过了24小时,发红部位就变得又红又肿。
"哪怕我只穿一件外套,都觉得肿胀部位被衣服压得疼。"
更可怕的是,最近一名华人更是在社交平台自爆,在接种第一针Moderna疫苗后,不但身上开始出现莫名的血斑,口腔里的舌头上还长满了黑色血泡。
这位朋友不想让家人担心,一个人半夜开车前往医院急救室求诊。做完检查后傻眼了,血小板居然只有3000,被确诊患有ITP(特发性血小板减少性紫癜,极为罕见)。
据悉,该华人女子表示自己平时身体很健康,年初刚刚做过检查,当时血小板有24万多。在此期间,她所经历的唯一变动就是打了Moderna疫苗。
因为疫苗产生的抗体,与其体内的血小板发生了"战争",导致血小板急剧下降。
类似的案例此前并不是没发生过,来自佛罗里达州的产科医生Gregory Michael就在被确诊为患有ITP之后不幸去世。
去年12月18日,56岁的Gregory接种了第一针辉瑞新冠疫苗,无任何既往病史的他,在打完疫苗的三天后,手脚部位却突然出现严重的瘀斑,像是得了皮疹的红斑。
在医院检查后,Gregory血液中的血小板计数居然诡异地显示为0,当天晚上他就被安排紧急住院。
专家团队努力了2周,尝试多种方法想要增加其血液中的血小板计数,但都无济于事。就当专家团队准备转为手术治疗时,在计划的前两天,Gregory因血小板不足发生出血性中风,撒手人间。
Gregory的妻子难以接受,她认为新冠疫苗是害死丈夫的罪魁祸首,"我不再信任疫苗,它毁了我们这个幸福的家庭。"

华人女子也在做完检查后意识到事情的严重性,在等待治疗的同时,她表示接下来的一切只能听天由命了。
目前加拿大正全面推进免疫计划,本周将有大批刚被批准的牛津阿斯利康疫苗到货。
这对期盼尽早打上疫苗的人来说本是一个好消息,可就在这几天,牛津阿斯利康疫苗却被好几个国家的地区强制叫停。
据报道,在奥地利,有两名接种了阿斯利康疫苗的护士反应副作用严重,其中一名甚至出现了严重的凝血功能障碍导致死亡;另一名虽暂时没有生命危险,但也出现了严重的肺栓塞。
在未查清因果关系之前,奥地利已决定叫停同一批次的牛津阿斯利康疫苗。德国北部地区和瑞典两个省份也因大批接种者反应打完阿斯利康疫苗出现副作用,停止了该疫苗的接种工作。
不知阿斯利康疫苗在加拿大开打后,又会产生怎样的局面... ...
从防控疫情和经济重启的角度而言,尽快实现全民免疫至关重要。但如果真的因为疫苗导致越来越多的人付出生命的代价,在那个时候,放缓或停下脚步只能是唯一的选择。
|